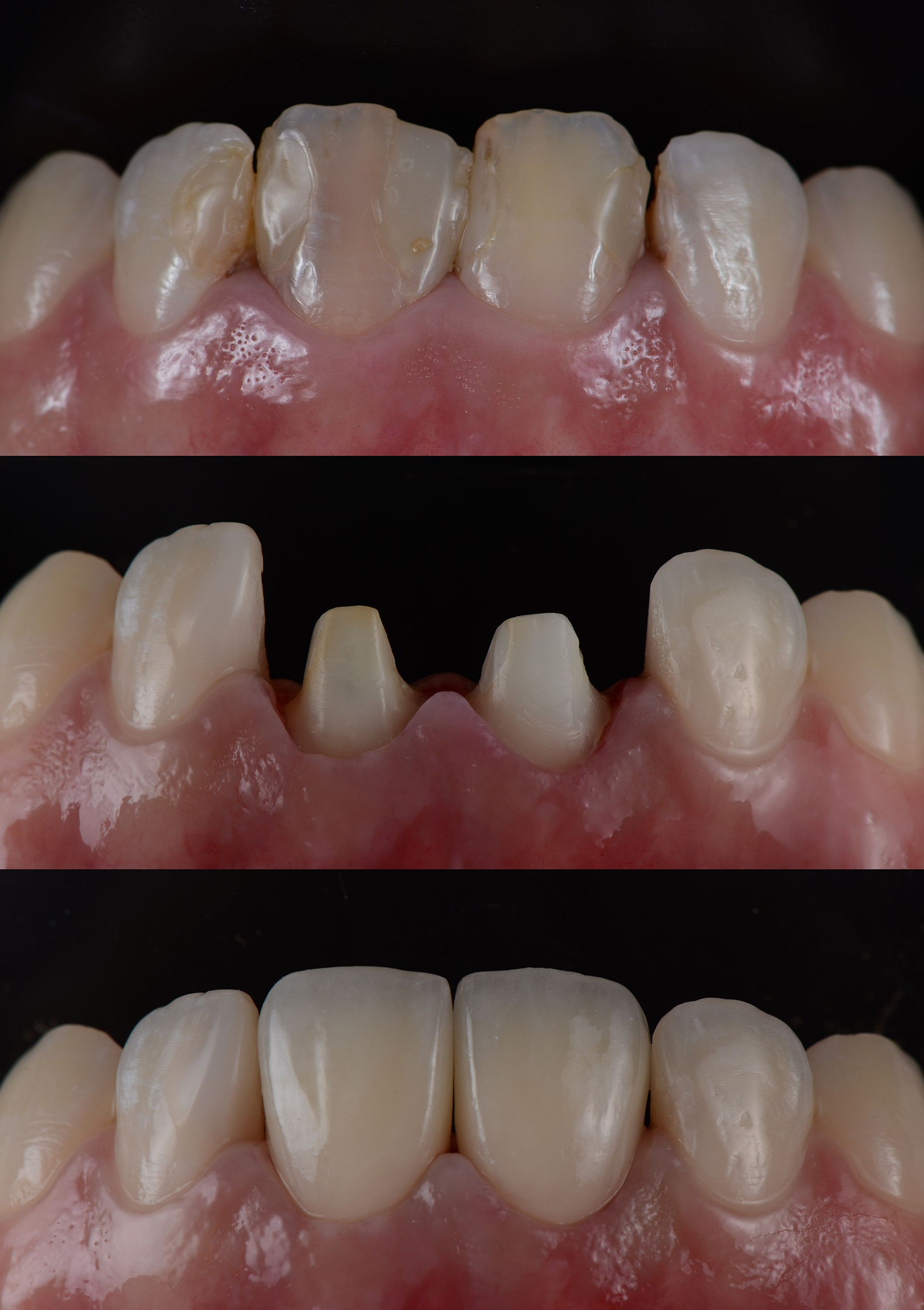
Dentisterie cosmétique/esthétique
Ici, au Centre de santé dentaire, nous allons plus loin que le simple attrait visuel des dents. Un beau sourire exige également de l'harmonie et de l'équilibre. Nous nous occupons, non seulement de l'aspect cosmétique, mais aussi de l'amélioration de la fonction des dents en termes d'occlusion, en forme et en force. Ce type de dentisterie est appelé dentisterie esthétique.
Un dentiste cosmétique de Dieppe n'est qu'à un coup de fil du Centre de santé dentaire.
La dentisterie esthétique peut corriger les taches, les ébréchures ou les lacunes de vos dents.
Nous voulons que vous soyez satisfait de votre apparence et que vous ayez ainsi une grande confiance en vous :
Si vous avez besoin de plus amples renseignements sur la dentisterie esthétique à Dieppe, communiquez avec nous dès aujourd'hui.
Orthodontie/Clear Correct
L'orthodontie permet de réaligner les dents tordues. Nous proposons des traitements traditionnels en métal ou l'alternative plus récente Clear Correct, un ensemble de gouttières en plastique transparent.
Lorsque vos dents sont de travers ou mal alignées, il ne s'agit pas seulement d'un problème esthétique, mais d'un problème qui peut également affecter votre santé générale.
Des dents mal alignées peuvent affecter votre zone de morsure, provoquant douleur et gêne. L'orthodontie peut vous aider.
L'orthodontie permet de réaligner les dents et peut être pratiquée à tout moment de la vie. Il n'est pas nécessaire d'être un enfant pour bénéficier des avantages d'un appareil dentaire. Ils peuvent améliorer votre qualité de vie, quel que soit votre âge.
Le Centre de santé dentaire utilise des appareils dentaires traditionnels en métal ou des appareils dentaires transparents (bagues dentaires), mais il propose également des appareils dentaires avancés Clear Correct. Clear Correct est un ensemble de gouttières en plastique transparent qui permet de redresser les dents sans les inconvénients d'un appareil en métal pour manger et nettoyer les dents.
Les aligneurs Clear Correct sont amovibles, mais vous devrez venir souvent et régulièrement au cabinet pour vous faire poser votre nouvelle paire d'aligneurs transparents.
Blanchiment des dents
Nous proposons des techniques pour que vos dents soient aussi blanches que possible. Ne laissez pas vos dents décolorées vous empêcher de sourire.
Les dents peuvent perdre leur éclat pour diverses raisons. En l’occurrence, la consommation de boissons comme le café et le vin, l'ingestion d'aliments foncés qui provoquent des taches, ou tout simplement le vieillissement naturel des dents qui rend l'émail plus perméable. Si vous êtes préoccupé par la décoloration de vos dents, ne vous inquiétez pas, nous avons la solution grâce à nos services de blanchiment dentaire à Dieppe.
Nous ne recommandons pas le blanchiment dentaire aux patients qui fument.
Nous proposons un blanchiment au fauteuil ou à domicile, ce qui ne présente aucun risque pour votre santé. Le blanchiment au fauteuil est plus rapide et se fait généralement en un peu plus d'une heure. Des empreintes de vos dents seront prises afin que vous ayez des gouttières à ramener chez vous pour les retouches.
Les résultats peuvent différer en fonction de la teinte de départ de vos dents et de votre capacité à éviter les aliments qui ont tendance à tacher l'émail dentaire.















