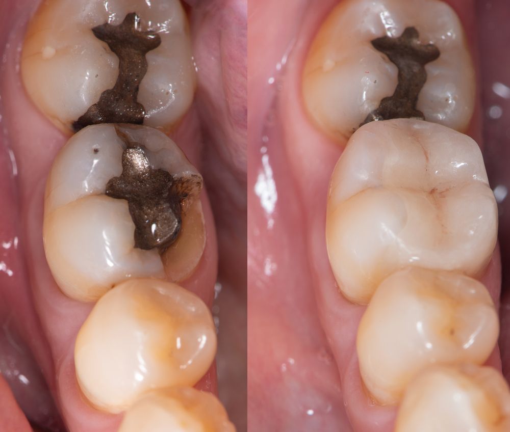
Restorative Dentistry
Decay in teeth can lead to many problems and if it is left untreated you can lose teeth.
If you need more information about Dental Restorations in Dieppe, contact us today.
Bridges, Partial dentures and Full dentures
If you’re missing one, a few or all of your teeth, we can help you reclaim your smile!
Why should you replace missing teeth?
To restore proper chewing function, improve your speech and pronunciation and maintain the shape of your face. The loss of teeth can lead to many problems and affect your overall health, including your bite. The gap left by a missing tooth can mean the teeth at either side moving out of the correct position.
Bridge
A fixed dental bridge is not removable and is usually offered when there are fewer teeth to replace. It consists of crowns (that fit over your natural teeth on either side of the space) and artificial teeth (that “bridge the gap” in your smile).
Partial dentures and Full dentures
A partial denture is a removable plate with one or more false teeth, which can be all plastic or may contain metal and clasps. Full dentures are to replace a full arch (upper/ lower) of missing teeth. They can be in plastic or a combination of both metal and plastic with a gum-colored area and natural-looking teeth fixed to them.
Dentures on implants are also another smart alternative for missing teeth.
Periodontics
Healthy teeth begin with healthy gums. Periodontics is the field of dentistry that will have your mouth healthy in no time at all.
We know that dentistry is about more than just teeth.
Periodontics deals with the gums and surrounding tissues. One of the main concerns is gum disease.
Gum disease is a chronic bacterial infection that affects the gums and bone supporting your teeth.
If gum disease is left untreated it will lead to tooth loss and will negatively affect your overall body health.
Some Symptoms Include:
- Swollen, puffy and bleeding gums
- Spaces between teeth
- Tooth sensitivity
- Bad breath
- Loose teeth
Endodontics / Root Canal
If your experiencing a lot of pain in one of your teeth you may need a root canal. We can help.
Root Canal
Endodontics are the field of dentistry that deal with the interior and root of your tooth.
The best known endodontic service is the root canal. It’s the buzz word for scary dentist operations, but it is absolutely nothing to be afraid of and it can save a tooth.
When the root area of the tooth becomes infected it can lead to pain and the loss of the tooth. A root canal treatment is a dental procedure to remove inflamed or infected pulp on the inside of the tooth, which is then carefully cleaned and disinfected, then filled and sealed. Root canal treatment is designed to eliminate bacteria from the infected root canal, prevent reinfection of the tooth and save the natural tooth.
Dental Implants
If one or more of your teeth are missing, there are several ways to replace them. An alternative to bridges, partial or complete dentures may be dental implants.
A dental implant is an artificial root made of titanium metal. It is inserted into the jawbone to replace the root of the natural tooth. An artificial replacement tooth is attached to the implant. The implant acts as an anchor to hold the replacement tooth in place.
They are comfortable and look like natural teeth, and can restore a person's apperance, as well as the ability to chew or speak.
You may be referred to a periodontist of oral and maxillofacial surgeon to have the implant surgically placed, then have the crown placed on the implant at our office,
















